
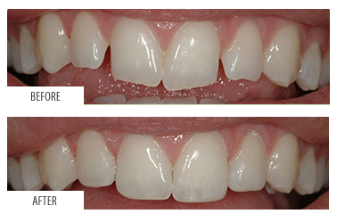
Nowadays, appearance is very important and smile is one of the guarantees of a healthy lifestyle, good social status or great physical appearance. For this reason, our clinic focuses on improving the appearance of teeth through personalized treatments for each patient. We’re flexible to your wishes and we guarantee that together we can obtain the smile you want.
The word "Aesthetics", which he often used in dentistry, is indicative of beauty. What is the difference between something Aesthetic and something that is not ?
A philosopher described it as follows: "If you like what you see, then it is beautiful." Beauty is a very relative term, subjective point of view of many people.
Cosmetic dentistry is based on visual perception. In this context, color, contour and teeth features, symmetry and harmony, become very important.
Many procedures are required to restore a smile, such as crowns, porcelain dental veneers and zirconium, and laser teeth whitening.
Frequent problems:
- Discoloration
- Broken teeth
- Crowded Teeth
- Root surfaces that become visible due to disease
- Dental abrasion
- Injury
Teeth Whitening
It can be done at home or in the office. Professional whitening can only be done in the dentist's office but is a procedure that comes with some risk, especially if your teeth are sensitive.
Contouration
The restoration of a natural tooth with fine abrasions is done by correcting the edges and correcting teeth chips.

